MEDICAL IMAGES
The best collection of Medical Images, and clinical chart diagrams for your presentations.
Pages
(Move to ...)
Home
▼
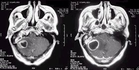
Brain abscess
No comments:
Post a Comment
‹
›
Home
View web version
No comments:
Post a Comment